Different Types Of Elbow Dislocation . Identify the typical patterns and common patient presentations with elbow dislocations. Elbow dislocations usually occur in the young adults and account for up to 25% of elbow injuries. The two types of elbow dislocations are: Elbow dislocations can be complete or partial, and usually occur after a trauma,. A dislocated elbow occurs when the bones in the elbow become separated and pushed out of alignment within the elbow joint. Elbow dislocations can be complete. Posterior dislocation occurs when there is a significant force on the palm that resonates. Elbow dislocations are common elbow injuries which can be characterized as simple or complex depending on associated. An elbow dislocation is defined as simple or complex *, the latter being. When the joint surfaces of the elbow's three bones are separated, the elbow is dislocated.
from www.shoulderelbowclinic.co.uk
A dislocated elbow occurs when the bones in the elbow become separated and pushed out of alignment within the elbow joint. Elbow dislocations usually occur in the young adults and account for up to 25% of elbow injuries. When the joint surfaces of the elbow's three bones are separated, the elbow is dislocated. Posterior dislocation occurs when there is a significant force on the palm that resonates. Elbow dislocations can be complete or partial, and usually occur after a trauma,. Elbow dislocations are common elbow injuries which can be characterized as simple or complex depending on associated. Identify the typical patterns and common patient presentations with elbow dislocations. An elbow dislocation is defined as simple or complex *, the latter being. The two types of elbow dislocations are: Elbow dislocations can be complete.
Elbow fracturedislocation The Shoulder and Elbow Clinic
Different Types Of Elbow Dislocation Identify the typical patterns and common patient presentations with elbow dislocations. The two types of elbow dislocations are: Identify the typical patterns and common patient presentations with elbow dislocations. A dislocated elbow occurs when the bones in the elbow become separated and pushed out of alignment within the elbow joint. Elbow dislocations usually occur in the young adults and account for up to 25% of elbow injuries. Elbow dislocations can be complete. Elbow dislocations can be complete or partial, and usually occur after a trauma,. Posterior dislocation occurs when there is a significant force on the palm that resonates. An elbow dislocation is defined as simple or complex *, the latter being. Elbow dislocations are common elbow injuries which can be characterized as simple or complex depending on associated. When the joint surfaces of the elbow's three bones are separated, the elbow is dislocated.
From medicalschoolquicktopics.blogspot.com
Dislocation of elbow,What to know? Different Types Of Elbow Dislocation When the joint surfaces of the elbow's three bones are separated, the elbow is dislocated. Elbow dislocations are common elbow injuries which can be characterized as simple or complex depending on associated. The two types of elbow dislocations are: An elbow dislocation is defined as simple or complex *, the latter being. A dislocated elbow occurs when the bones in. Different Types Of Elbow Dislocation.
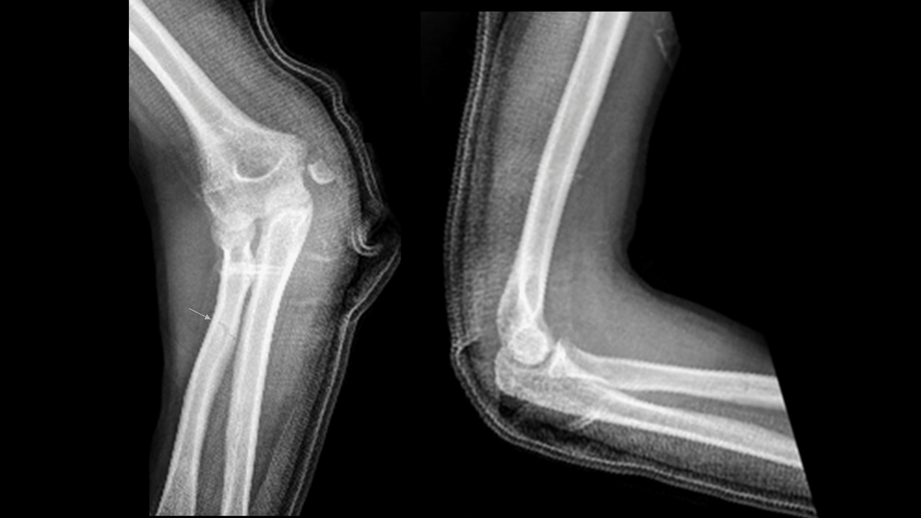
From www.cureus.com
Cureus Radial Head Dislocation with Elbow Subluxation in an Adult Different Types Of Elbow Dislocation An elbow dislocation is defined as simple or complex *, the latter being. The two types of elbow dislocations are: When the joint surfaces of the elbow's three bones are separated, the elbow is dislocated. Identify the typical patterns and common patient presentations with elbow dislocations. Elbow dislocations usually occur in the young adults and account for up to 25%. Different Types Of Elbow Dislocation.
From orthofixar.com
Elbow Dislocation Easy Explained OrthoFixar 2023 Different Types Of Elbow Dislocation Elbow dislocations can be complete or partial, and usually occur after a trauma,. When the joint surfaces of the elbow's three bones are separated, the elbow is dislocated. A dislocated elbow occurs when the bones in the elbow become separated and pushed out of alignment within the elbow joint. Posterior dislocation occurs when there is a significant force on the. Different Types Of Elbow Dislocation.
From www.cureus.com
Cureus FloatingVariant Medial Elbow Dislocation A New Different Types Of Elbow Dislocation Elbow dislocations are common elbow injuries which can be characterized as simple or complex depending on associated. Elbow dislocations can be complete. Posterior dislocation occurs when there is a significant force on the palm that resonates. The two types of elbow dislocations are: When the joint surfaces of the elbow's three bones are separated, the elbow is dislocated. Elbow dislocations. Different Types Of Elbow Dislocation.
From radiopaedia.org
Posterior elbow dislocation Image Different Types Of Elbow Dislocation An elbow dislocation is defined as simple or complex *, the latter being. Elbow dislocations can be complete. Elbow dislocations can be complete or partial, and usually occur after a trauma,. Identify the typical patterns and common patient presentations with elbow dislocations. Elbow dislocations are common elbow injuries which can be characterized as simple or complex depending on associated. A. Different Types Of Elbow Dislocation.
From www.cancertherapyadvisor.com
Evaluation and Management of Complex Elbow Dislocations Cancer Different Types Of Elbow Dislocation Elbow dislocations can be complete. An elbow dislocation is defined as simple or complex *, the latter being. Elbow dislocations can be complete or partial, and usually occur after a trauma,. Identify the typical patterns and common patient presentations with elbow dislocations. The two types of elbow dislocations are: When the joint surfaces of the elbow's three bones are separated,. Different Types Of Elbow Dislocation.
From www.pinterest.com
Elbow dislocation. La Unidad Especializada en Ortopedia y Traumatologia Different Types Of Elbow Dislocation Elbow dislocations usually occur in the young adults and account for up to 25% of elbow injuries. An elbow dislocation is defined as simple or complex *, the latter being. Identify the typical patterns and common patient presentations with elbow dislocations. Elbow dislocations can be complete. Elbow dislocations are common elbow injuries which can be characterized as simple or complex. Different Types Of Elbow Dislocation.
From www.researchgate.net
Complex elbow dislocations patterns after primary or spontaneous Different Types Of Elbow Dislocation Elbow dislocations can be complete. The two types of elbow dislocations are: Identify the typical patterns and common patient presentations with elbow dislocations. An elbow dislocation is defined as simple or complex *, the latter being. Elbow dislocations are common elbow injuries which can be characterized as simple or complex depending on associated. Elbow dislocations usually occur in the young. Different Types Of Elbow Dislocation.
From www.journal-cot.com
Dislocations of the elbow An instructional review Journal of Different Types Of Elbow Dislocation Posterior dislocation occurs when there is a significant force on the palm that resonates. A dislocated elbow occurs when the bones in the elbow become separated and pushed out of alignment within the elbow joint. Identify the typical patterns and common patient presentations with elbow dislocations. Elbow dislocations usually occur in the young adults and account for up to 25%. Different Types Of Elbow Dislocation.
From wikem.org
Elbow dislocation WikEM Different Types Of Elbow Dislocation An elbow dislocation is defined as simple or complex *, the latter being. Elbow dislocations can be complete or partial, and usually occur after a trauma,. A dislocated elbow occurs when the bones in the elbow become separated and pushed out of alignment within the elbow joint. The two types of elbow dislocations are: Elbow dislocations can be complete. Posterior. Different Types Of Elbow Dislocation.
From manju-imagingxpert.blogspot.com
Radiodiagnosis Imaging is AmazingInteresting cases Elbow Dislocation Different Types Of Elbow Dislocation An elbow dislocation is defined as simple or complex *, the latter being. Posterior dislocation occurs when there is a significant force on the palm that resonates. The two types of elbow dislocations are: Identify the typical patterns and common patient presentations with elbow dislocations. Elbow dislocations can be complete. Elbow dislocations usually occur in the young adults and account. Different Types Of Elbow Dislocation.
From www.pediagenosis.com
DISLOCATION OF ELBOW JOINT pediagenosis Different Types Of Elbow Dislocation Posterior dislocation occurs when there is a significant force on the palm that resonates. The two types of elbow dislocations are: Elbow dislocations are common elbow injuries which can be characterized as simple or complex depending on associated. Elbow dislocations usually occur in the young adults and account for up to 25% of elbow injuries. An elbow dislocation is defined. Different Types Of Elbow Dislocation.
From jetem.org
Posterior Elbow Dislocation, Oblique XRay, dislocated, Annotated. JETem Different Types Of Elbow Dislocation Elbow dislocations can be complete. The two types of elbow dislocations are: Elbow dislocations usually occur in the young adults and account for up to 25% of elbow injuries. Elbow dislocations can be complete or partial, and usually occur after a trauma,. Elbow dislocations are common elbow injuries which can be characterized as simple or complex depending on associated. A. Different Types Of Elbow Dislocation.
From teachmeanatomy.info
The Elbow Joint Structure Movement TeachMeAnatomy Different Types Of Elbow Dislocation An elbow dislocation is defined as simple or complex *, the latter being. Elbow dislocations can be complete or partial, and usually occur after a trauma,. When the joint surfaces of the elbow's three bones are separated, the elbow is dislocated. Elbow dislocations can be complete. Posterior dislocation occurs when there is a significant force on the palm that resonates.. Different Types Of Elbow Dislocation.
From www.emdocs.net
Emergency Medicine EducationEM3AM Elbow Dislocation Different Types Of Elbow Dislocation Posterior dislocation occurs when there is a significant force on the palm that resonates. The two types of elbow dislocations are: Elbow dislocations are common elbow injuries which can be characterized as simple or complex depending on associated. Identify the typical patterns and common patient presentations with elbow dislocations. An elbow dislocation is defined as simple or complex *, the. Different Types Of Elbow Dislocation.
From healthjade.com
Dislocated Elbow Causes, Signs, Symptoms, Recovery & Treatment Different Types Of Elbow Dislocation Elbow dislocations can be complete or partial, and usually occur after a trauma,. Elbow dislocations usually occur in the young adults and account for up to 25% of elbow injuries. A dislocated elbow occurs when the bones in the elbow become separated and pushed out of alignment within the elbow joint. Posterior dislocation occurs when there is a significant force. Different Types Of Elbow Dislocation.
From www.verywellhealth.com
Elbow Dislocation Causes, Symptoms, and Treatment Different Types Of Elbow Dislocation Elbow dislocations can be complete. Elbow dislocations are common elbow injuries which can be characterized as simple or complex depending on associated. The two types of elbow dislocations are: Identify the typical patterns and common patient presentations with elbow dislocations. Posterior dislocation occurs when there is a significant force on the palm that resonates. Elbow dislocations can be complete or. Different Types Of Elbow Dislocation.
From orthopaedicprinciples.com
Paediatric Elbow Dislocation and Differential Diagnosis Different Types Of Elbow Dislocation Elbow dislocations are common elbow injuries which can be characterized as simple or complex depending on associated. When the joint surfaces of the elbow's three bones are separated, the elbow is dislocated. Posterior dislocation occurs when there is a significant force on the palm that resonates. Elbow dislocations usually occur in the young adults and account for up to 25%. Different Types Of Elbow Dislocation.